
Advanced Neurology Diagnostics with 3T MRI
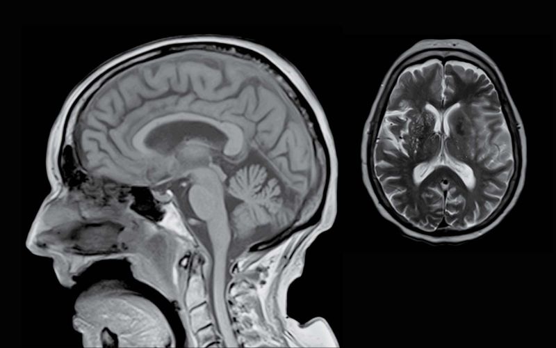
3T MRI is recommended over 1.5T for better visualization of neurological tissue, the spinal cord, protein build up in the brain, tumor detection, MS lesions, structural abnormalities, and vascular blood flow. Structures are more easily identifiable with 3T MRI because of the higher quality signal to noise ratio.
Benefits of 3T MRI are the ability to obtain images demonstrating miniscule slices as low as 1mm slice thickness, which aids in diagnosing difficult and complex cases. Structural detail is greatly enhanced with a 64-channel neurovascular coil for head and neck imaging.
The 3T MRI at Kansas City Advanced Imaging is a wide bore which is larger and shorter, ideal for patients who struggle with claustrophobia. The cost is the same for a 1.5T MRI imaging procedure vs a 3T MRI imaging procedure. Patient time on the 3T scanner is sometimes less than a 1.5T MRI. The shorter time on the table minimizes the need for repeat sequences due to motion by the patient.
